Perfect Smile Spa

Mini Smile Makeover Essex

Get a perfect smile in Essex
With minimum treatment at affordable prices

30 years of Expertise
Featured in TV & Radio
20+ Awards
100’s of happy clients
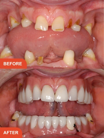
Before & After

Before & After Mini Smile Makeover Treatment at Perfect Smile Spa

Free Consultation

For Mini Smile Makeover

As dental professionals, we believe that having a beautiful and healthy smile is very important for mental and spiritual well being. We understand that some people are not happy with their smile which can negatively impact on their confidence.

If only a few of your teeth bother you, for example, your two front teeth or four front teeth, why not consider a Perfect Smile Spa Mini Makeover? Unlike our Smile Makeover, the Mini Makeover transforms your smile with minimal cost and intervention, making it a suitable option if you are on a budget.

How can a Mini Makeover improve my smile?

A Mini Makeover can enhance your smile and give you teeth to be proud of, with even the smallest procedure. Having a Mini Makeover can be perfect for:

Straightening crowded teeth

Correcting protruding teeth

Closing gaps

Improving teeth colour

Masking darker, yellow teeth

Making long-lasting changes to your smile

Correcting crooked teeth

If you are thinking of having cosmetic dentistry our Cosmetic Dentist at Perfect Smile Spa can certainly help you. Situated in Essex we are easily accessible by all means of transport

What is involved in a Mini Makeover?

Combining a range of dental treatments to provide a makeover, we create a bespoke treatment plan based on your insecurities to provide you with a makeover to boost your confidence and leave you with the perfect smile. Some of the Mini Makeover treatments include:

You may only need for example a few porcelain veneers or clear braces to correct your concerns. Having this along with teeth whitening and maybe cosmetic contouring and laser technology, if needed, can enhance your smile and give teeth to be proud of!

We offer free consultations meaning that you’ll be assessed free of charge by one of our award-winning professional dentists.

You will be given a comprehensive assessment of your mouth, in which your dentist will begin a highly detailed and thorough comprehensive examination and assessment. Based on your insecurities and concerns, we will create a bespoke treatment plan individual to you, to create a clear plan of your choice of treatments that will suit your needs and budget. Our aim is to answer all of your questions and provide you with advantages and disadvantages of all the options that have been given to you.

Try your new smile before starting treatment

After a comprehensive assessment, your dentist will prepare and plan your new trail smile which is a temporary smile fitted over your teeth for a couple of weeks.

The great benefit of this is that you’ll have the opportunity to trial your new smile and make and request any amendments before the treatment takes place.

We will show you similar comparisons to your smile with before and after pictures, using a hand crafted trail preview which is made from our highly experienced ceramist.

You will then be invited to review your trail smile so that we can be sure that you are 100% happy with the projected results.

Are you worried about having dental treatment?

If you’re considering having a Mini Makeover but are afraid experiencing pain, at Perfect Smile Spa, we promise there is nothing to worry about with our 100% painless dental treatments.

Our Director and Principal Cosmetic Dentist, Dr Jas Sagoo, is an award-winning dentist at the Perfect Smile Spa practice who specialises in offering pain free treatments. All treatments are carried out under a local anaesthetic using a painless technique and no treatment is rushed as we want you to be completely with your new smile. We always make sure that you have your treatments in a comfortable and friendly environment, enjoying spa-like treatments such us aromatherapy and music.

Free Consultation for Mini Smile Makeovers

Book our completely FREE CONSULTATION where we examine your teeth, discuss your expectations and then let you know which treatments will give you the results you want. We will of course answer any questions you may have about the process of improving the appearance of your smile

Perfect Smile Spa is situated in Hornchurch, Essex, and with easy access to from London we are here to provide you with treatments that will give you a beautiful, healthy smile you’ll be proud of.

If you would like further information on Smile Makeovers, please contact us on 01708 933296 or email care@perfectsmilespa.co.uk