Perfect Smile Spa

Bad Breath Treatments Essex

Solutions for Fresh Breath in Essex

30 years of Expertise
Featured in TV & Radio
20+ Awards
100’s of happy clients
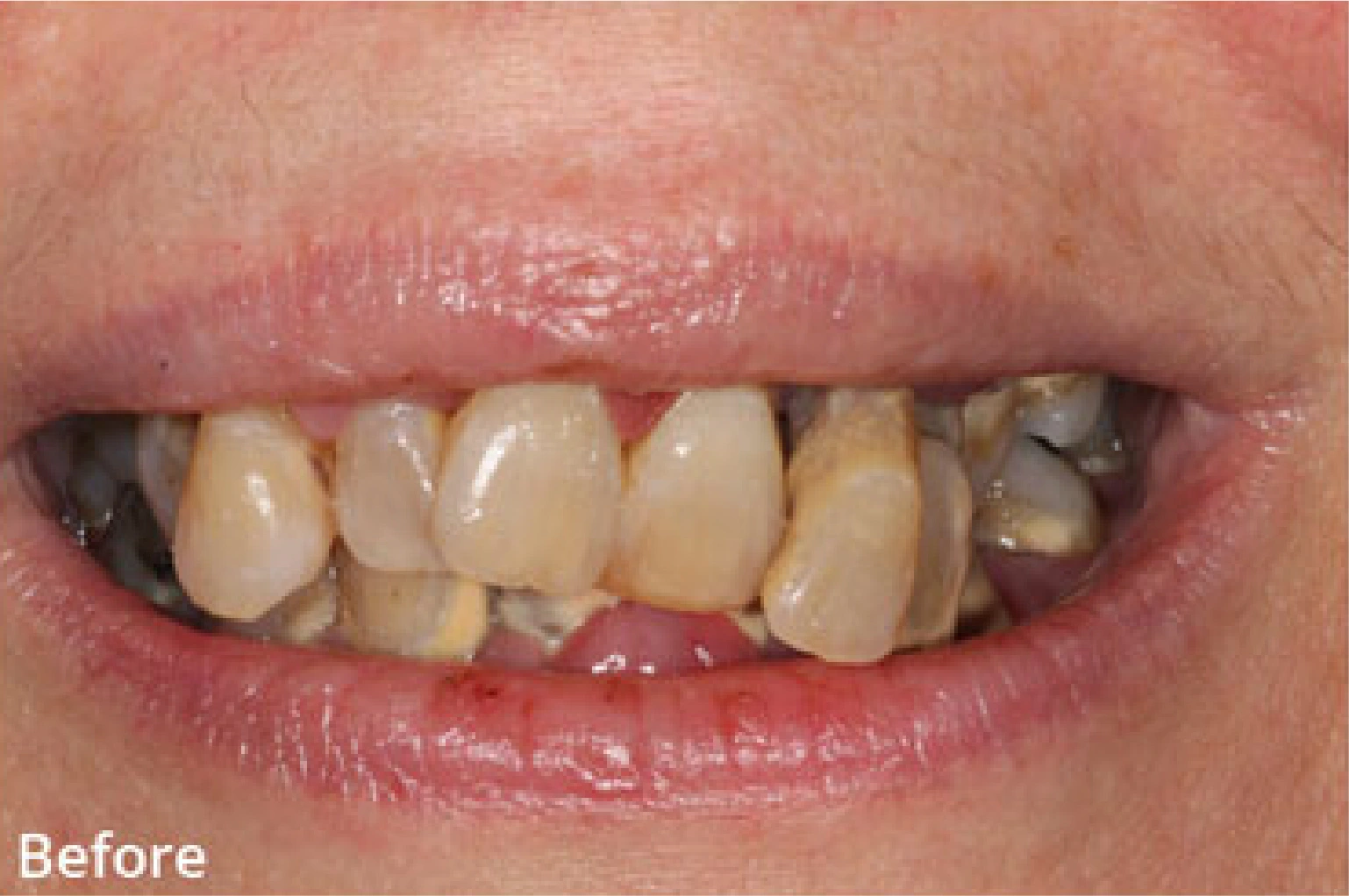
Before & After

Before & After Veneers Treatment at Perfect Smile Spa

before results of veneers after results of veneers

Are you embarrassed about Bad Breath?

One day teeth transformation Essex

Start Your Smile Transformation

Book your free consultation for fresh breath treatment now!

At Perfect Smile Spa we can help. Bad breath can be an embarrassing topic to think about, let alone speak to a professional about. With that being said, if it is something you suffer with, there is no judgement from Perfect Smile Spa, so please don’t fret about this issue.

You don’t have to live a life worrying about a problem that is so common, and usually, so easy to treat. More often than not, bad breath is caused by an underlying issue that can be treated, leaving you with fresh, healthy breath.

Our expert team in Essex have all kinds of skills and diagnostics to figure out what is causing the issue, and plenty of treatments to solve the problem once we know what it is.

Causes of Bad Breath

Most cases of bad breath are caused by bad oral hygiene habits, however, this isn’t always the case, and could sometimes be caused by lifestyle habits or medications. What causes bad breath even after brushing?

White Tongue

A white coated tongue can be a sign of bad breath as bacteria and food particles gather on the surface of the tongue.

Sleep Apnoea

If you have been diagnosed with sleep apnoea or you find that your partner is repeatedly telling you that you snore or sleep with your mouth open, the chances are, you may have bad breath issues because of this problem.

Smoking and Excessive Drinking

Both smoking and excessive drinking can lead to bad breath so if either of those habits are part of your life, you may suffer from bad breath. Smoking and excessive drinking can cause bad breath either directly because of the stale smoke or alcohol, or indirectly as both habits can cause a host of dental issues.

Medical Problems

If you have diagnosed medical issues or you are prescribed certain medication you may be more prone to bad breath. Some medical conditions such as bronchitis, acid reflux and kidney problems can affect the breath.

Diet

There have been instances where a patient’s bad breath has come solely down to diet. Many people don’t realise how long food stays in the body causing odour issues long after it has been consumed. If you regularly eat foods that send out odour in the body for days after consumption, this could be a really simple cause of your bad breath.

Bad Oral Hygiene

If you don’t brush properly, floss effectively, or use the right tools for brushing then the food debris left behind after eating and drinking could cause bad breath. This rule also applies to issues with caring for dental appliances like dentures, and eating correctly when you have braces. It may also be harder to care for your teeth if they are wonky, overcrowded or if previous work you have done needs maintenance.

Gum Disease

Bad breath that is chronic can be caused by gum disease where tartar on the teeth has built up so much that it is irritating the gums. Untreated gum disease can eventually lead to tooth loss, so the sooner it is diagnosed the better your long-term dental prognosis.

Dry Mouth

Although unlikely, there is a medical condition of dry mouth that can cause bad breath. Usually there is something stopping the production of saliva which is the body’s natural way of neutralising the ‘bad’ bacteria in the mouth.

Combat Your Bad Breath for Good

if you are sick of bad breath causing you embarrassment and affecting your personal or professional life, please let us help. Our professional team has a wealth of skills, experience, treatments and modern tools and equipment to help you get the fresh, healthy smile you deserve.

How to Get Rid of Bad Breath

Diagnosis

The first step in treating any issue is diagnosing the cause. During a free consultation, we can use our skills to find the cause of your bad breath. We can then provide you with detailed treatment plans including transparent pricing.

Combination of treatments

To successfully treat your bad breath and its cause we may suggest a series of treatments, including:

Our treatments are pain-free and we also offer oral and IV sedation for nervous patients who may require a little help feeling comfortable during treatment.

Medical issues

We can help advise you on treating the bad breath associated with diagnosed conditions, and can also refer you to your GP if we suspect it is a symptom of an undiagnosed medical issue that needs the attention of your doctor.

Free cosmetic dental consultation in Essex

Free Consultation

Book our completely FREE CONSULTATION where we examine your teeth, discuss your expectations and then let you know which treatments will give you the results you want. We will of course answer any questions you may have about the process of improving the appearance of your smile

Perfect Smile Spa is situated in Hornchurch, Essex, and with easy access to from London we are here to provide you with treatments that will give you a beautiful, healthy smile you’ll be proud of.

If you would like further information, please contact us on 01708 442114 or email care@perfectsmilespa.co.uk