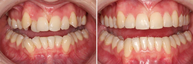
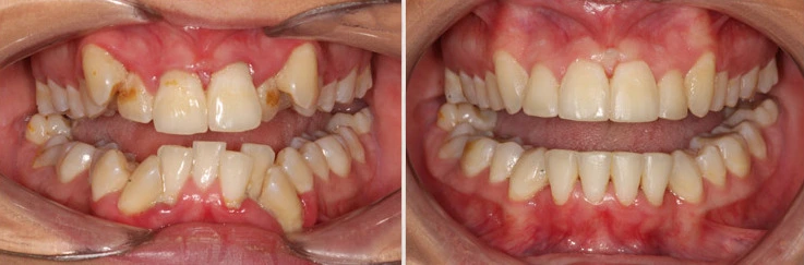
We are proud to offer a wide range of orthodontic treatments for everyone, from young adults to those later in life wanting to straighten their teeth. Our ethos is that it is never too late to have the straight smile you have always wanted – and our adult braces in Essex can do just that.
We are very passionate about helping patients get the healthy smile they deserve, and our experienced team are trained to help you get the most discreet and suitable orthodontics currently available so that you can have the most effective straightening treatment and the best possible results.
With the advancement of cosmetic dentistry, it is possible that a patient may also see an orthodontist to have their teeth straightening purely to improve the look of their smile. At Perfect Smile Spa, we have a wide range of cosmetic braces in Essex treatments such as Smile Align, which uses clear braces for effective and discreet teeth straightening.
Common reasons for teeth straightening include the following, which can affect speech, aesthetics, oral hygiene, dental health and personal confidence:
Age is no barrier to having orthodontic treatment due to the quick, modern and invisible brace options on offer. Realigning teeth can be achieved through a variety of procedures, with some of our braces in Essex options better suited to certain individuals than others. The emergence of innovative technology in the dental industry has alleviated the requirement for patients to endure months and years of wearing traditional metal braces, as invisible braces become more readily available in dental practice.
Your orthodontist will know which adult braces treatment is right for your needs, and usually, there will be a choice of treatments available to you. Some may be more expensive and take less time, some may take a long time and be more of a commitment – it all depends on the desired results and the type of issue we need to solve. One thing you can be sure of is a clear explanation of your options, what they involve and how much they cost, so you can make an informed choice that is right for you.
Otherwise known as traditional braces, a metal brace is made from exceptionally high-quality stainless steel. The size of the brace is as small as it ever has been, whilst still providing the same quality straightening results.

Ceramic braces are usually clear and offer a much more discreet and aesthetically pleasing look compared to traditional metal braces.

This innovative ‘invisible’ brace system can straighten the front teeth in a matter of weeks for some patients. It works by using the latest technology to plan a gentle straightening process using bespoke clear aligners which are changed roughly every fortnight. This treatment is ideal for minor gaps or misalignment at the front of the smile.

Damon braces use a special slide mechanism to hold the brace wire which makes it much easier for the teeth to move. The treatment tends to be quicker and more comfortable than a traditional brace and also more hygienic because it is easier to clean areas of the teeth that are often hard to reach using a standard system.

Inman Aligner is a leading orthodontic technology using a removable brace that has the ability to straighten the front teeth extremely quickly. The reason the device is so effective is due to its self-adjusting springs, meaning that you don’t need replacements every couple of weeks.

Originating in America, this incredible system uses metal braces to straighten the teeth in just six months or less. The braces are tooth coloured for maximum discretion and can be fitted with ease. The majority of patients who want a quick straightening system are eligible for this kind of treatment.

It all starts at a free consultation with us where we can answer any questions you may have, and provide you with detailed information, including transparent treatment plans and their associated costs. We are also renowned for offering pain-free treatment, and for helping nervous patients to get the dental treatment they deserve.
Book your completely FREE CONSULTATION where we will examine your teeth, discuss your expectations and let you know which treatments will give you the results you’re looking for. We will also answer any questions you have about the process of improving the appearance of your smile.
Perfect Smile Spa is situated in Hornchurch, Essex. With easy access to and from London, we provide treatments that will give you the beautiful, healthy smile you desire.
Book Free Consultation
If you would like further information on Orthodontics,
please contact us on 01708 933296 or email care@perfectsmilespa.co.uk
