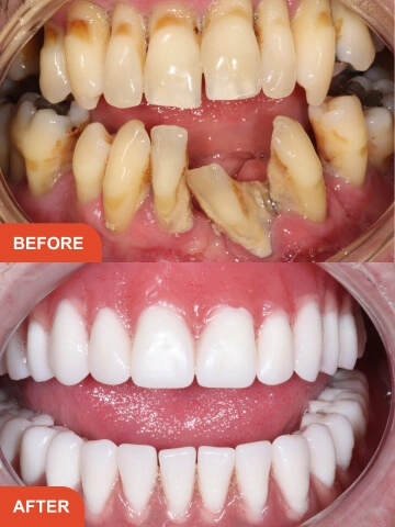
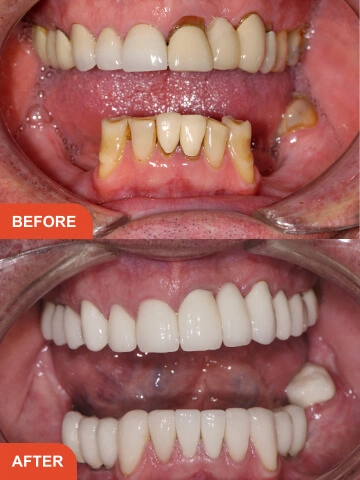
With our implant retained dentures in Essex, you can say goodbye to messy denture glue, loose dentures, sore gums and denture related embarrassment!
At Perfect Smile Spa, we offer beautiful custom made dentures which are high quality, look great and are more comfortable than ever before. They are also removable for cleaning and maintenance. Alone, these dentures are a great choice for tooth replacement.
However, our implant retained dentures provide an even more complete dental restoration that creates the most natural feeling bite that is currently available within modern dentistry.

Dental implants from Perfect Smile Spa in Essex keep beautiful dentures exactly in place so you’ll have as close as a replacement to your old teeth as is possible, with modern restoration solutions.
All of our dental treatments are designed to be painless, but we do also offer IV sedation and oral sedation for patients who need additional support to feel comfortable.
Starting with a detailed assessment, the dentist will do everything possible to ensure you are suitable for treatment. If it happens you are not suitable, we will offer alternatives to you. If you are suitable we will invite you back for another appointment where we can provide you with our bespoke treatment plan, along with transparent pricing and timescales. On your agreement, we will then move forward to booking you in for treatment.
On the day of your dentures treatment in Essex, we will use pain-free local anaesthetic injections along with IV or oral sedation, if that is something we discussed in your consultation. Once you are totally comfortable we will begin treatment, placing the titanium implants into the jawbone and gum. With a detailed aftercare plan and check-ups scheduled, your implants will then heal with your body for around 3 months. You won’t be expected to live without teeth for this time though so don’t worry, we will provide you with temporary dentures.
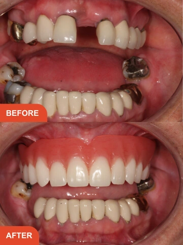
With implant retained dentures, the support of the denture is provided by one or more permanent dental implants which act as a replacement for the tooth root. The implants are made from titanium which is made to become a natural part of your body after a few months. During this time, it heals and bonds with the jawbone becoming a permanent part of your facial structure. Once the healing process is complete, permanent dentures can be created to simply click on to a special attachment above the gums.
After healing has taken place we expose the implants and provide a permanent bridge or your cosmetic overdentures to attach (depending on which you have chosen). At this point, your dentures in Essex procedure will be complete and you’ll be left with a beautiful and comfortable new smile.
In some instances, the dentures might be removable for daily cleaning and maintenance just like standard dentures. You may also need to sleep without your dentures in. In some instances we can provide a fixed bridge which is where the crowns and bridges we attach to the implants are fixed and cannot be moved. These provide an exceptionally natural tooth replacement option for your lower arch, upper arch or both. Your dentist will speak to you about both options at your free consultation.
Book our completely FREE CONSULTATION where we examine your teeth, discuss your expectations and then let you know how we’ll give you the results you’ve been looking for. We will of course answer any questions you may have about the process of improving the appearance of your smile.
Perfect Smile Spa is situated in Hornchurch, Essex. With easy access to from London we are here to provide you with treatments that will give you a beautiful, healthy smile you’ll be proud of.
Book Free Consultation
If you would like further information,
please contact us on 01708 933296 or email care@perfectsmilespa.co.uk
