Perfect Smile Spa

Dental Veneers Essex

Say goodbye to smile imperfections with customisable dental veneers in Essex.

0% Finance 6 composite veneers including free hygenist worth £89 for £247/M for 12 months *T&C apply

30 years of Expertise
Featured in TV & Radio
20+ Awards
100’s of happy clients
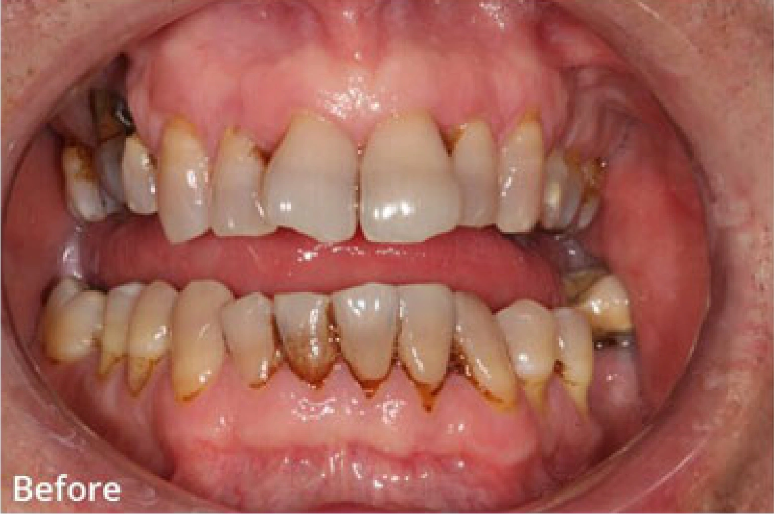
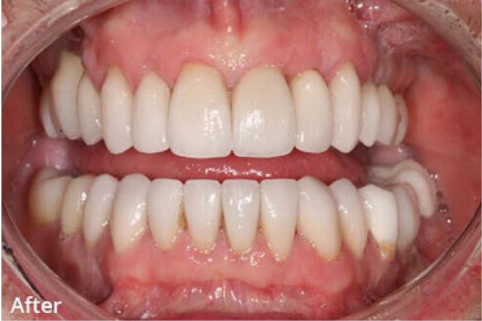
Before & After

Before & After Veneers Treatment at Perfect Smile Spa

Get Your Hollywood Smile

One day teeth transformation Essex

Start Your Smile Transformation

Book your free consultation for dental veneers now!

We have all seen reality TV stars, Hollywood actors and social media influencers with bright, white, beautiful smiles. Were they all born with perfect teeth? Perhaps some were, but most have had a little help from their dentist, or more specifically, with the help of veneers. Our modern dental veneers in Essex provide a transformative cosmetic teeth enhancement for a true Hollywood smile!

Dental veneers are one of the most popular cosmetic treatments, which completely transform the way the teeth look, giving clients the smile they always dreamed of. Veneers require minimal preparation, conserving the maximum amount of natural tooth underneath. With good maintenance and care, your veneers can last you for many years to come, which makes them an excellent investment if you’re looking for a white, bright smile.

Cosmetic Dental Veneers | Perfect Smile Spa

What are Dental Veneers?

Dental veneers sit on top of the natural tooth to change its appearance as they can be used to change the shape, shade and size of the teeth to transform a multitude of common dental issues. They are commonly used on the front teeth as they are at the centre of a great smile.

What’s fantastic is, your local Essex dentist, Perfect Smile Spa, provides modern veneer treatments so you can get the perfect smile, without having to travel out of your way to get it. Perfect Smile Spa’s winning cosmetic dentist, Dr Jas Sagoo, has completed thousands of stunning, painless veneer treatments over the last two decades.

What Veneers can be used for?

We often recommend veneers when patients are looking for a total smile transformation. They are fantastic at solving many different dental issues including, but not limited to:

Teeth that are chipped

Teeth that are discoloured

Teeth that are gappy (also known as diastema)

Teeth that are overcrowded

Teeth that are misshapen

Different types of Veneers

Composite Veneers

Our composite veneers in Essex can be used for treating a wide range of cosmetic dental problems and can improve the colour, shape, size and texture of teeth to make them more attractive by fixing minor chips and cracks in the teeth. Made from resin, composite veneers are bonded directly to the teeth and sculpted to the desired shape.

No-Preparation Veneers

It is possible to have the smile you’ve always dreamed about, and with no preparation veneers, you’ll be able to have the perfect smile without the need for local anaesthetic or the removal of your tooth structure.

Have questions? Check out the frequently asked questions!

Porcelain Veneers vs Composite Veneers

When you choose to have an innovative and modern treatment like veneers at your professional Essex dental clinic, you’re already well on your way to improving the aesthetics of your teeth. You will need to choose which material you want your veneers to be made from, and the two main choices are composite or porcelain. Both materials are incredible at transforming your smile, but which is right for you depends on various factors.

Composite Veneers

Composite veneers, using our composite bonding treatment, are less expensive than porcelain veneers because they are not designed to last as long, and are therefore easier to reverse due to the minimal preparation work on your natural teeth. Composite veneers can be quicker to create in comparison to porcelain veneers and tend to be sculpted when placed on the tooth, which can make the treatment quicker and less invasive.

Porcelain Veneers

Our porcelain veneers in Essex are by far the most durable veneer material option and are incredibly strong and resistant to stains and chips. They are considered to be the most natural looking option with a translucent quality that appears like the enamel of natural teeth. Porcelain veneers can take longer to create, but the result is often much more of a ‘polished’ and detailed look per tooth, due to laboratory expertise, compared to composite veneers. Well-maintained porcelain veneers can last for well over a decade.

mini smile makeover Essex

Your Essex dentist can speak to you about both options at your free consultation so you can make an informed decision about the best dental veneers for your smile transformation.

How much do dental veneers in Essex cost?

The cost of porcelain veneers at Perfect Smile Spa starts at From £915* per tooth.

During your free consultation with us, we can provide you with complete treatment plans with totally transparent costs.

We offer 0% finance which can make paying for treatment easier for patients wanting to spread the costs. We can go over the different payment options during your free consultation.

Frequently Asked Questions

No-preparation veneers (also known as no-prep veneers) are the latest cosmetic treatment and are perfect for fixing many dental issues, including: spaces between the teeth, discoloured teeth, teeth that appear too large or too small.

As the enamel is not adjusted, the bond between your existing teeth to the new veneers is incredibly strong due to the bonding materials and technique we use during the fitting. Our no-preparation veneers in Essex treatment reduces the risk of tooth sensitivity, making this treatment comfortable and even enjoyable!

No-prep veneers are extremely thin, but once bonded on, they are extremely strong and durable. Another great benefit is that rather than changing the shade of your teeth, the desired shade is added to the veneers. No drilling is required and no anaesthetic is needed. This treatment is ideal for patients who would like to correct the shape or form of their teeth.

At Perfect Smile Spa, our no-preparation dental veneers can effectively solve many common dental issues, including:

  • Minor cosmetic flaws: No-preparation veneers are ideal for correcting minor cosmetic imperfections such as small chips, slight misalignments, or uneven tooth shapes.
  • Discoloration and staining: They effectively cover discoloration and staining that are resistant to traditional whitening methods.
  • Gaps and spaces: If you have small gaps or spaces between teeth, our no-preparation veneers in Essex can create a more uniform appearance, closing these spaces for a seamless smile transformation.
  • Size and shape irregularities: These veneers can improve the size and shape of teeth, creating a more aesthetically pleasing and symmetrical smile.

We understand that veneers are an investment, which is why we provide you with realistic temporary veneers for two weeks to ensure that you are completely happy with your smile before your porcelain veneers are made. We encourage you to share your opinions and choose a shade for your new smile with our lab technician, to make sure that your smile is everything you hoped for. During preparation, we record your bite registration which will ensure the success of your new smile and make it long lasting. Upon fitting your new veneers, we check your bite to make sure you are biting correctly, and no unnecessary pressure is put on the veneers which can lead to them fracturing.

The process of having our no-preparation dental veneers fitted will take around five appointments:

Appointment 1: Planning – we plan your smile together and take impressions so we can simulate how your teeth will look. We then use this simulation, called a wax up, to create your temporary veneers.

Appointment 2:  Preparation Appointment – more impressions and photographs are taken to allow the lab to make your veneers. Your temporary veneers are fitted.

Appointment 3:  Temporary Review –we ask your opinion on your temporaries and check you bite. More impressions are taken and sent to the laboratory.

Appointment 4: Fitting Appointment – your new veneers are fitted and your bite checked.

Appointment 5: Final Review – this appointment is to double check your bite and ensure you are completely happy with your new smile!

Whilst most of our customers do opt for porcelain, composite veneers are ideal if you have a smaller budget. Both composite and porcelain are effective in transforming your smile, however, which material is right for you will depend on some factors.

Composite veneers, using our composite bonding treatment in Essex, can be completed in one single visit, meaning that you won’t need to return or wait for your next appointment to show off your new perfect smile!

Composite veneers will perfect your smile by evening and smoothing out your smile line, greatly improving the shade of your existing teeth and will evenly proportion the size and width of your teeth to give you that beautiful, perfect smile!

Some of the dental problems that composite veneers can improve include: crooked teeth, discoloured teeth, chipped teeth, damaged teeth, gaps between teeth.

On average, our composite veneers in Essex can last around 5 years, however, this is dependent on aftercare, maintenance and habits, including diet, brushing habits and whether or not you grind your teeth.

With over 25 years experience in cosmetic dentistry, we have a clear understanding of the properties of dental materials and experience in hand-crafting and replicating the shape, texture and characteristics of teeth using composite veneers. Every individual is unique and has a different tooth shape, smile line and symmetry. We will take all these factors into account when creating composite veneers.

Composite veneers can be fitted the very same day without much preparation as it is a relatively easy process, performed with our composite bonding treatment in Essex. With that being said, your teeth will need to be thoroughly cleaned before treatment with special agents. During treatment, the composite is bonded in layers to your teeth and then sculpted and polished to create the final veneer which seamlessly blends in with your other teeth. It’s important to understand that if you want to have whiter teeth, then teeth whitening will be performed first in order for the veneer to be correctly matched to your other teeth.

To ensure your composite veneers last for as long as possible, it’s critical to visit a dental hygienist for regular dental check-ups frequently, as agreed by your dentist. Depending on your oral health, this may be less or more frequent than six months. Diet and oral hygiene is also important, as well as brushing your teeth twice a day and treating your veneers with the same care as your other teeth. Of course, if you tend to grind your teeth, this can have a huge impact on how long your composite veneers will last, so it may be well worth investing in a night bite guard to protect your veneers.

At Perfect Smile Spa, the cost of our composite veneers in Essex is £495 per tooth. Porcelain veneers start From £915* per tooth.

Free cosmetic dental consultation in Essex

Free Consultation for Dental Veneers

Book our completely FREE CONSULTATION where we examine your teeth, discuss your expectations and then let you know which treatments will give you the results you want. We will of course answer any questions you may have about the process of improving the appearance of your smile

Perfect Smile Spa is situated in Hornchurch, Essex, and with easy access to from London we are here to provide you with treatments that will give you a beautiful, healthy smile you’ll be proud of.

If you would like further information on Dental Veneers, please contact us on 01708 933296 or email care@perfectsmilespa.co.uk