Perfect Smile Spa

Invisalign in Essex

Discretely straighten your teeth with Invisalign in Essex – the world’s most advanced aligner at Perfect Smile Spa
30 years of Expertise
Featured in TV & Radio
20+ Awards
100’s of happy clients
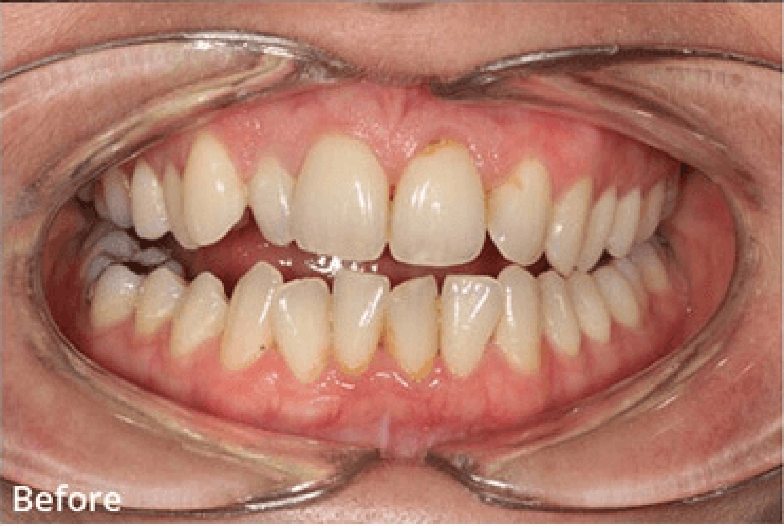
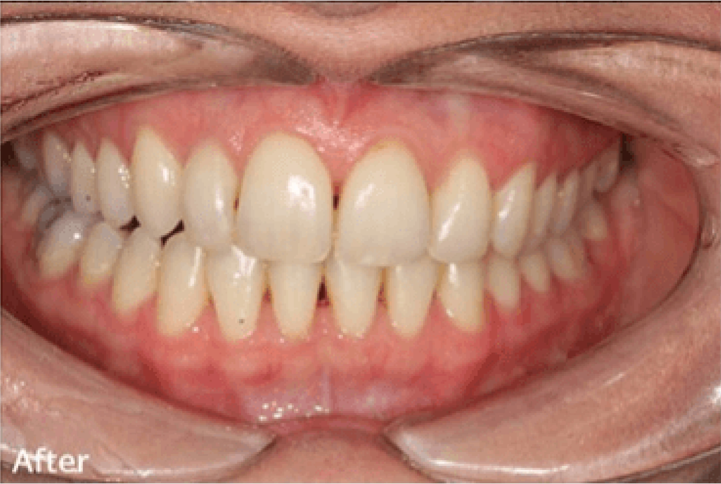
Before & After

Before & After Invisalign Treatment at Perfect Smile Spa

Why choose Invisalign

One day teeth transformation Essex

Discover Your Perfect Smile

Book your free Invisalign consultation

As one of the most invisible forms of orthodontics, Invisalign consists of a series of nearly invisible, removable aligners that you change every two weeks for the next set of aligners.

Each aligner is individually manufactured for your teeth, and your teeth only. As you replace each aligner, your teeth will move – little by little, week by week – until they have straightened to the desired position. Fortunately, Invisalign are almost invisible, comfortable and removable.

Our Invisalign braces in Essex are similar to transparent gum shields. They are a series of aligners that slowly move the teeth into the desired position.

Advantages of Invisalign at Perfect Smile Spa in Essex

The most revolutionary aspect of Invisalign is that the aligners are transparent and hardly invisible (no metal bands or wires), therefore nobody is going to realise that you are undergoing treatment – unless you tell them!

Clear

your aligners are almost invisible

Comfortable

each aligner is custom-made for the individual, for a perfect fit every time

Removable

you can remove the aligners when necessary, allowing you to eat whatever you like. Life continues as normal

Better Oral Hygiene

being removable makes brushing and flossing easier during treatment

Fast

in some cases you could get straight teeth in a shorter time than with traditional braces

Proven

Invisalign is used by patients all over the world and is the market leader in clear aligners

Your Invisalign in Essex Journey

Client journey with Perfect Smile Spa

Digital scans are taken and processed to smilelign who make a treatment plan

Smilelign make a treatment plan for the dentist and the aligners are made giving details of where the attachments need to go

Smilealign must be worn 24 hrs a day, only to be removed to eat, brush your teeth and to drink.

Once your teeth are straight, retainers are custom made and fitted to prevent your teeth from moving back. If you do not wear your retainers your teeth will move back.

At Perfect Smile Spa, we’re proud to offer Invisalign with ClinCheck, a state-of-the-art technology that digitally maps your smile transformation journey. ClinCheck’s precise planning, interactive previews, and personalized approach ensure that each aligner is custom-made for optimal results. With ClinCheck, you’ll experience enhanced communication, confidence, and efficiency throughout your treatment, ultimately leading to a smile you’ll love. Discover the difference ClinCheck can make at Perfect Smile Spa today.

Why choose Perfect Smile Spa for Invisalign in Essex?

Our Invisalign dentists will make you feel confident as soon as you start wearing your aligners

Even before your Invisalign treatment is finished, you’ll begin enjoying the benefit of a better smile as teeth alignment will start right from the beginning. Invisalign are the most comfortable solution and is almost painless!

A frequent question we get asked at Perfect Smile Spa is “how long does invisalign take to work?” Treatment times vary from person to person, depending on the complexity of each straightening issue.

At our dental clinic, we will discuss your goals and concerns and only then agree the best way forward for you to achieve the best results in the shortest time with our Invisalign braces in Essex.

Free cosmetic dental consultation in Essex

Free Consultation for Invisalign

Book your completely FREE CONSULTATION where we will examine your teeth, discuss your expectations and let you know which treatments will give you the results you’re looking for. We will also answer any questions you have about the process of improving the appearance of your smile.

Perfect Smile Spa is situated in Hornchurch, Essex. With easy access to and from London, we proudly provide treatments that will give you the beautiful, healthy smile you desire.

If you would like further information on Invisalign, please contact us on 01708 933296 or email care@perfectsmilespa.co.uk