

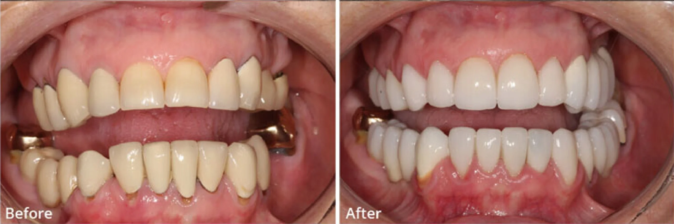
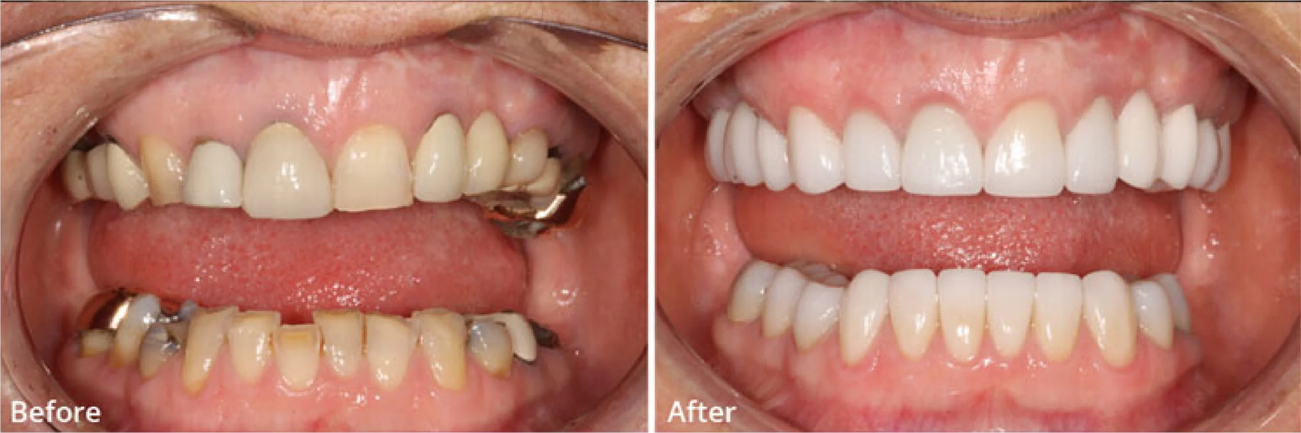
Perfect Smile Spa in Essex offers patients effective and detailed jaw and bite diagnosis for the treatment of TMJ and bruxism. We also diagnose jaw and bite issues to aid in a better fit of dental restorations such as cosmetic dentures.
Our experienced team in Essex use advanced equipment and precise computerised techniques to assess the health of the jaw and bite. We are incredibly proud to be one of just a handful of practises in the UK offering this exceptionally detailed level of assessment.
Our leading cosmetic dentistry clinic is based in Essex and has the latest technology to help you find comfort and relief with your jaw and bite problems.
Bruxism is a common condition where a person grinds or clenches their teeth regularly. More often than not, the action is unconscious and it can occur in the day, or whilst you are asleep.
With sleep bruxism, the problem is considered a sleep disorder and usually patients who grind their teeth whilst they are asleep have additional sleeping disorders like sleep apnoea or snoring.
If you have very mild bruxism then you might not need any treatment at all as it might not affect you enough to warrant taking action yet. However, it may cause problems in the future and so preventative treatment could be a good choice.
If you do have serious bruxism and it is causing jaw problems, headaches and damage to your teeth, then now is the time to take action and seek help in our professional clinic in Essex.
Currently, doctors do not know what causes bruxism but individuals may be more prone to it if they are feeling stressed, anxious, nervous, angered or frustrated. Some people can clench their jaw when they are concentrating hard; but the causes are different for everybody.
If left untreated, bruxism can lead to damage to the teeth, jaw, tooth restorations and soft tissues in the mouth. You may also experience difficulty to cope with headaches, severe pain in the face and jaw and problems because of sleep deprivation.
TMJ disorder is an issue with pain in the joint that hinges the jaw to the skull, called the temporomandibular joint. It can be caused by a wide variety of issues and can affect people of all ages.
The TMJ hinges the jaw to the skull just in front of your ears and there are lots of muscles attached to that bone and the surrounding area. Issues in this part of the face can be felt with pain in the joint itself, but also in the neck, face, ear and even further down in the shoulders if the posture changes because of continual pain. You may also experience issues with biting, with your jaw popping or locking, and with headaches.
The TMJ is made up of bone, blood vessels, nerves, muscles and soft tissue and you have one TMJ for each side of your face. The muscles you use to chew are based around the TMJ which is why bruxism can lead to TMJ disorder.
The jawbone generally moves in a rotating way or in a hinge like way enabling you to talk, express yourself, eat and breathe. If you think about how much you use your TMJ and how much it moves almost continuously, it is easy to see how you might suffer from problems if it isn’t working as it should.
TMJ disorder can be caused by trauma, medical issues, wear and tear or oral habits. It can also be caused by a combination of different issues that come together to cause pain and discomfort in this area of the body.
Symptoms vary greatly between patients and every patient has a unique experience with TMJ and how it has affected them. We have met many people who have suffered life-altering pain from the disorder who experience immeasurable relief following diagnosis and treatment from us.

If you believe you have TMJ disorder or bruxism, please book a consultation with Perfect Smile Spa today.
Book our completely FREE CONSULTATION where we examine your teeth, discuss your expectations and then let you know which treatments will give you the results you want. We will of course answer any questions you may have about the process of improving the appearance of your smile.
Perfect Smile Spa is situated in Hornchurch, Essex, and with easy access to from London we are here to provide you with treatments that will give you a beautiful, healthy smile you’ll be proud of.
Book Free Consultation
If you would like further information,
please contact us on 01708 933296 or email care@perfectsmilespa.co.uk
