Social media is full of shiny promises – especially when it comes to DIY teeth whitening hacks. TikTok is overflowing with “miracle” tricks and before-and-after filters, but the truth is: these trends could quietly be damaging your smile behind the scenes. Some trends may seem harmless, or even “natural,” but they may cause irreversible enamel erosion, gum irritation, or worse.
Here at Perfect Smile Spa, our dentists in Essex have seen what happens when a shortcut goes wrong, and how much more time, cost, and stress it takes to repair. If you care about your long-term dental health, here’s what you need to know about these dangerous online whitening hacks.
1. Baking soda and hydrogen peroxide mix
This popular combo might sound like a quick fix, but it’s extremely abrasive. Baking soda can strip surface stains, but when paired with hydrogen peroxide, it creates a chemical cocktail that eats away at your enamel. And once enamel is gone, it’s gone for good.
The result of this trend is weak, sensitive teeth that are more prone to yellowing and cavities. If you’re after a brighter smile, choose enamel-safe toothpaste or professional teeth whitening in Essex with our qualified cosmetic dentists.


2. Lemon juice and baking soda
Just because it’s natural doesn’t mean it’s safe. Lemon juice is highly acidic, and mixing it with baking soda amplifies its erosive power, wearing away enamel and exposing the yellow dentin underneath. Over time, this makes teeth look duller, not whiter, and increases the risk of decay and sensitivity. If you’re tempted by this hack, know that it may lead to more damage than benefit.
3. Magic eraser as a tooth scrubber
Yes, really. Some TikTokers are scrubbing their teeth with Magic Erasers. These sponges are made with melamine foam, a harsh abrasive never meant for human skin – let alone teeth.
Using a Magic Eraser may appear to temporarily polish your teeth, but it strips enamel and creates microscopic scratches that trap stains even more stubbornly in the future. This leads to lasting damage and no real whitening.

4. Straight hydrogen peroxide rinses
Some influencers rinse with full-strength hydrogen peroxide (3% or higher), hoping for brighter teeth. Without dental supervision, this practice can cause chemical burns, gum blistering, and permanent damage to soft tissues.
Hydrogen peroxide is a legitimate whitening agent – but only when used in precise, dentist-approved concentrations. As your trusted dentists in Hornchurch, we urge patients to avoid any chemical exposure that hasn’t been safely prescribed.
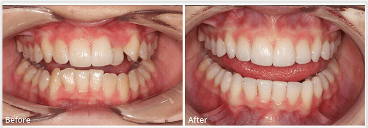
Safe Whitening Alternatives That Actually Work
Professional teeth whitening in Essex:
Tailored to your enamel type and sensitivity level, our treatments help you achieve brighter results without the discomfort or risks of DIY kits.
Cosmetic veneers in Essex:
For deeper discolouration or uneven tone, veneers offer long-lasting, natural-looking results with no filters required.
Guided hygiene and lifestyle support:
We help you prevent staining before it starts with practical advice, hygienist treatments, and subtle daily tweaks.

Why Risk It? Trust Your Smile to the Experts
DIY whitening hacks might seem convincingly convenient, but they’re rarely effective and can also be dangerous. If you want real results without the hidden damage, the safest path is through professional care.
Here at Perfect Smile Spa, we combine advanced whitening systems with award-winning cosmetic dentistry and spa-level patient comfort. Your smile is far too important to gamble with a gimmick.

