Selena Gomez
According to numerous sources online, many fans and dental professionals suspect that Selena Gomez has enhanced her already-stunning smile with ultra-subtle veneers. This has led to a growing demand for veneers that mimic real teeth – not the exaggerated “BBL teeth” look. Here at Perfect Smile Spa, our veneers in Essex are carefully designed to match your natural tone, facial structure, and smile shape for a beautifully understated glow-up.Tom Cruise
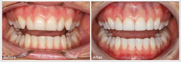
When Tom Cruise famously revamped his smile with veneers, he set the gold standard for the “Hollywood smile.” Balanced, straight, and camera-ready, his smile transformation sparked a global interest in achieving a confident yet natural-looking smile with veneers. For those looking for the timeless, symmetrical smile Cruise made famous, our bespoke veneers in Essex never feel overdone. Each case is carefully mapped to your gum line, face shape, and bite for a result that looks naturally flawless. Take a look at some of the smile transformations we’ve achieved with veneers below.
Margot Robbie
Margot Robbie’s smile continues to top inspiration boards for dental patients looking for subtle and natural-looking transformations. Her teeth are radiant yet realistic, perfectly aligned without appearing overdone, and enhanced just enough to elevate her overall look. This “less is more” trend is driving a shift toward non-invasive fixes like composite bonding and teeth whitening in Essex. Ideal for those seeking glow without the commitment of veneers, think of our teeth whitening treatment, as your smile’s version of a natural filter.
Miley Cyrus
Miley’s smile has evolved over the years, and in 2025 it’s all about natural harmony. Rumours suggest Miley has also used veneers to address alignment and minor flaws without erasing her unique look. With our team of award-winning dentists in Essex, mini smile makeovers combine whitening, veneers, bonding, and more to enhance – not replace – yours.

